ایمپلنت دندان یکی از پیشرفتهترین روشهای جایگزینی دندانهای از دست رفته است که با مزایای فراوان خود محبوبیت زیادی پیدا کرده است. اما مانند هر روش درمانی دیگر، ایمپلنت نیز ممکن است عوارضی داشته باشد.
قدم اول برای جلوگیری از این عوارض انتخاب دندانپزشک متخصص است. برای انجام ایمپلنت دندان در سعادت آباد توصیه میکنیم به بهترین دندانپزشک ایمپلنت سعادت آباد مراجعه کنید تا با خیالی راحت ایمپلنت خود را انجام دهید.
در این مقاله با ما همراه باشید تا به تمام جنبههای مربوط به عوارض ایمپلنت، مراقبتهای بعد از کاشت، تاثیر سیگار، و مسائل مربوط به دوام و شکستگی آن بپردازیم.
فهرست مقالات
عوارض ایمپلنت دندان
ایمپلنت دندان در بیشتر موارد با موفقیت بالا انجام میشود، اما برخی از افراد ممکن است با مشکلاتی مواجه شوند. از مهمترین عوارض ایمپلنت دندان میتوان به موارد زیر اشاره کرد:
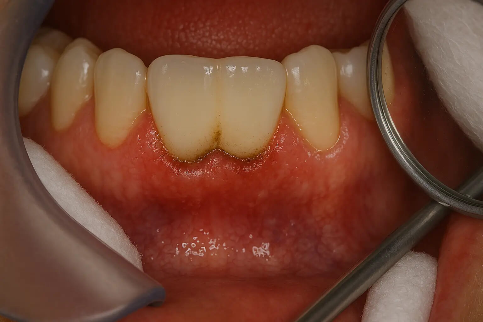
1. عفونت و التهاب لثه
عفونت و التهاب لثه یکی از شایعترین عوارض پس از کاشت ایمپلنت است و معمولاً در روزها یا هفتههای ابتدایی بعد از جراحی بروز میکند. این وضعیت زمانی رخ میدهد که باکتریها در اطراف پایهی ایمپلنت تجمع پیدا کنند و موجب تحریک یا التهاب بافت لثه شوند. علائمی مانند قرمزی، تورم، احساس درد، بوی بد دهان یا حتی ترشح چرک از محل جراحی میتواند نشانهی بروز عفونت باشد. در برخی موارد، اگر درمان به موقع انجام نشود، التهاب ممکن است به استخوان فک گسترش یابد و حتی باعث شل شدن یا شکست ایمپلنت دندان شود.
مهمترین علت بروز عفونت، رعایت نکردن بهداشت دهان و دندان پس از کاشت ایمپلنت است. باقی ماندن ذرات غذا بین ایمپلنت و لثه محیطی مناسب برای رشد باکتریها فراهم میکند. همچنین عواملی مانند مصرف سیگار، ضعف سیستم ایمنی بدن، یا استفاده نادرست از آنتیبیوتیکها میتواند احتمال التهاب و عفونت را افزایش دهد. برای جلوگیری از این مشکل، باید طبق توصیهی دندانپزشک، از مسواک نرم، نخ دندان مخصوص ایمپلنت و دهانشویه آنتیباکتریال استفاده کرد.
2. خونریزی بعد از ایمپلنت دندان
خونریزی بعد از ایمپلنت دندان یکی از عوارض موقتی و نسبتاً شایع پس از جراحی است که معمولاً جای نگرانی ندارد، اما آگاهی از علت و نحوه کنترل آن اهمیت زیادی دارد. در ساعات اولیه پس از کاشت ایمپلنت، خروج مقدار کمی خون یا بزاق آغشته به خون طبیعی است و نشاندهنده واکنش طبیعی بدن به جراحی میباشد.
با این حال، اگر خونریزی بیش از ۲۴ ساعت ادامه پیدا کند یا شدت آن زیاد باشد، ممکن است نشانه التهاب، عفونت یا آسیب به بافتهای اطراف باشد. عواملی مانند مصرف داروهای رقیقکننده خون، فشار زیاد هنگام شستوشوی دهان، کشیدن سیگار و عدم رعایت دستورات پزشک میتوانند باعث تشدید خونریزی شوند.
برای کنترل آن، توصیه میشود تا چند ساعت پس از جراحی از کمپرس گاز استریل روی محل زخم استفاده شود، از شستوشوی شدید دهان خودداری گردد و در صورت تجویز پزشک، داروهای ضدالتهاب و آنتیبیوتیک مصرف شوند. همچنین افرادی که از سیگار استفاده میکنند یا دچار بیماریهای لثه هستند، باید مراقبتهای بیشتری انجام دهند تا روند ترمیم لثه و جوش خوردن ایمپلنت با استخوان دچار اختلال نشود.
3. درد و تورم
درد و تورم بعد از ایمپلنت دندان از واکنشهای طبیعی بدن به جراحی محسوب میشود و معمولاً نشانهای از شروع فرآیند ترمیم بافتهاست. از آنجا که در حین کاشت ایمپلنت، لثه و استخوان فک تحت عمل جراحی قرار میگیرند، بروز درد و التهاب در چند روز ابتدایی امری طبیعی است. شدت درد معمولاً در ۲۴ تا ۴۸ ساعت اول بیشتر است و به تدریج کاهش مییابد. در این مرحله، استفاده از مسکنهای تجویز شده توسط دندانپزشک به کنترل درد کمک میکند و در بیشتر موارد، بیماران پس از چند روز به حالت عادی بازمیگردند.
تورم بعد از ایمپلنت دندان نیز معمولاً در ناحیهی گونه یا اطراف لثه دیده میشود و نشانه التهاب موقتی بافتهاست. برای کاهش تورم، توصیه میشود در ۲۴ ساعت اول از کمپرس سرد استفاده شود؛ یعنی هر بار به مدت ۱۵ دقیقه کیسه یخ روی محل قرار گیرد و سپس استراحت داده شود. پس از گذشت یک روز، استفاده از کمپرس گرم میتواند به بهبود گردش خون و کاهش التهاب کمک کند.
ایمپلنت چگونه در استخوان فک ثابت میشود؟
فرآیند ثابت شدن ایمپلنت دندان در استخوان فک با پدیدهای زیستی به نام اُسیواینتگریشن (Osseointegration) انجام میشود. پس از کاشت پایه تیتانیومی ایمپلنت در فک، سلولهای استخوانی به تدریج روی سطح زبر آن رشد میکنند و به مرور زمان پایه را درون استخوان محکم میسازند. این فرآیند معمولاً بین ۳ تا ۶ ماه طول میکشد و نتیجه آن اتصال کامل ایمپلنت با استخوان است، بهطوریکه میتواند فشار ناشی از جویدن را مانند یک دندان طبیعی تحمل کند.
موفقیت این مرحله به عوامل متعددی مانند کیفیت استخوان، سلامت عمومی بدن، رعایت بهداشت دهان و انتخاب دندانپزشک متخصص بستگی دارد. اگر اُسیواینتگریشن به درستی انجام شود، ایمپلنت دندان در استخوان فک ثابت و ماندگار خواهد بود؛ اما در صورت بروز عفونت یا عادتهای مضر مانند سیگار کشیدن، احتمال لق شدن یا شکست ایمپلنت افزایش مییابد.
ایمپلنت چند سال دوام دارد؟
یکی از پرسشهای رایج بیماران این است که ایمپلنت چند سال دوام دارد. در شرایط ایدهآل و با رعایت نکات بهداشتی، ایمپلنت دندان میتواند بین 15 تا 25 سال و حتی بیشتر دوام داشته باشد. عواملی که روی طول عمر ایمپلنت تأثیر میگذارند عبارتند از:
- کیفیت و برند ایمپلنت
- تجربه دندانپزشک و نحوه جراحی
- بهداشت دهان و دندان
- عادتهای فردی مثل سیگار کشیدن
هزینه ایمپلنت دندان و عوامل مؤثر بر آن
هزینه ایمپلنت دندان به عوامل متعددی بستگی دارد و نمیتوان برای همه بیماران رقم ثابتی تعیین کرد. مهمترین عامل تعیینکننده، کیفیت و برند فیکسچر (پایه ایمپلنت) است. ایمپلنتهای ساخت کشورهای مختلف مانند کره، آلمان یا سوئیس، از نظر دوام و درصد موفقیت متفاوتاند و همین موضوع بر قیمت نهایی تاثیر میگذارد. علاوه بر آن، تجربه و مهارت دندانپزشک متخصص ایمپلنت نیز نقش بسیار مهمی دارد، زیرا جراحی دقیق و اصولی میتواند از بروز عوارض بعدی جلوگیری کرده و ماندگاری ایمپلنت را افزایش دهد.
در برخی بیماران، پیش از کاشت ایمپلنت نیاز به پیوند استخوان یا سینوس لیفت وجود دارد که برای آمادهسازی استخوان فک انجام میشود. این اقدامات، زمان و هزینه درمان را افزایش میدهند. همچنین تعداد ایمپلنتها، نوع تاج یا پروتز انتخابی (ثابت یا متحرک)، و موقعیت جغرافیایی کلینیک از دیگر عواملی هستند که بر هزینه تأثیر دارند. به عنوان مثال، هزینه ایمپلنت دندان در مناطق مختلف تهران از جمله سعادتآباد ممکن است به دلیل استفاده از تجهیزات پیشرفتهتر و برندهای باکیفیتتر متفاوت باشد.
ایمپلنت دندان شکسته
در برخی موارد، ایمپلنت ممکن است دچار آسیب یا شکستگی شود. ایمپلنت دندان شکسته معمولاً ناشی از فشار زیاد، ضربه یا ضعف متریال است. در صورت مشاهده ترک یا شکستگی، مراجعه فوری به دندانپزشک ضروری است تا از آسیب بیشتر جلوگیری شود.
ایمپلنت و سیگار
مصرف سیگار یکی از عوامل مهمی است که روی موفقیت ایمپلنت تأثیر منفی دارد. ایمپلنت و سیگار رابطه مستقیمی با نرخ شکست ایمپلنت دارند، زیرا سیگار باعث کاهش جریان خون در لثه و کند شدن فرآیند جوش خوردن ایمپلنت با استخوان میشود. توصیه میشود حداقل دو هفته قبل و دو ماه بعد از جراحی، مصرف سیگار قطع شود.
جرم گیری ایمپلنت دندان
یکی از مراقبتهای مهم بعد از ایمپلنت، جرم گیری ایمپلنت دندان است. تجمع پلاک و جرم روی ایمپلنت میتواند منجر به التهاب لثه و تحلیل استخوان شود. برای جلوگیری از این مشکلات، به طور منظم به دندانپزشک مراجعه کرده و از ابزارهای مخصوص برای تمیز کردن ایمپلنت استفاده کنید.
مراقبتهای بعد از ایمپلنت دندان
برای جلوگیری از بروز عوارض، رعایت مراقبتهای پس از جراحی ضروری است. این مراقبتها شامل موارد زیر میشوند:
- مصرف مسکن و داروهای تجویزی توسط دندانپزشک
- رعایت بهداشت دهان با مسواک نرم و دهانشویه
- پرهیز از غذاهای سفت و چسبنده در هفتههای اول
- اجتناب از مصرف سیگار و الکل
- مراجعه منظم به دندانپزشک برای بررسی وضعیت ایمپلنت
علائم هشدار دهنده پس از ایمپلنت
اگر بعد از کاشت ایمپلنت با موارد زیر مواجه شدید، باید سریعاً به دندانپزشک مراجعه کنید:
- خونریزی بیش از حد (خونریزی ایمپلنت دندان)
- درد شدید یا غیرعادی
- التهاب و قرمزی لثه
- لق شدن ایمپلنت
- مشاهده ترک یا شکستگی در پروتز (ایمپلنت دندان شکسته)
نتیجهگیری
ایمپلنت دندان یک روش موثر و طولانیمدت برای جایگزینی دندانهای از دست رفته است، اما مانند هر روش درمانی دیگر، ممکن است با عوارض ایمپلنت دندان مواجه شوید. با انتخاب دندانپزشک متخصص، رعایت بهداشت دهان و پرهیز از عادات مضر مانند سیگار، میتوان احتمال بروز مشکلات را به حداقل رساند. همچنین مراقبتهای منظم مانند جرم گیری ایمپلنت دندان و بررسیهای دورهای، دوام ایمپلنت را افزایش میدهند و از مشکلاتی مثل خونریزی ایمپلنت دندان یا دندان شاندن جلوگیری میکنند.
اگر در سعادت آباد زندگی میکنید و به دنبال خدمات مطمئن هستید، مراکز معتبر ایمپلنت دندان در سعادت آباد با تجربه و تجهیزات استاندارد، بهترین انتخاب برای شما خواهند بود.



دیدگاه کاربران